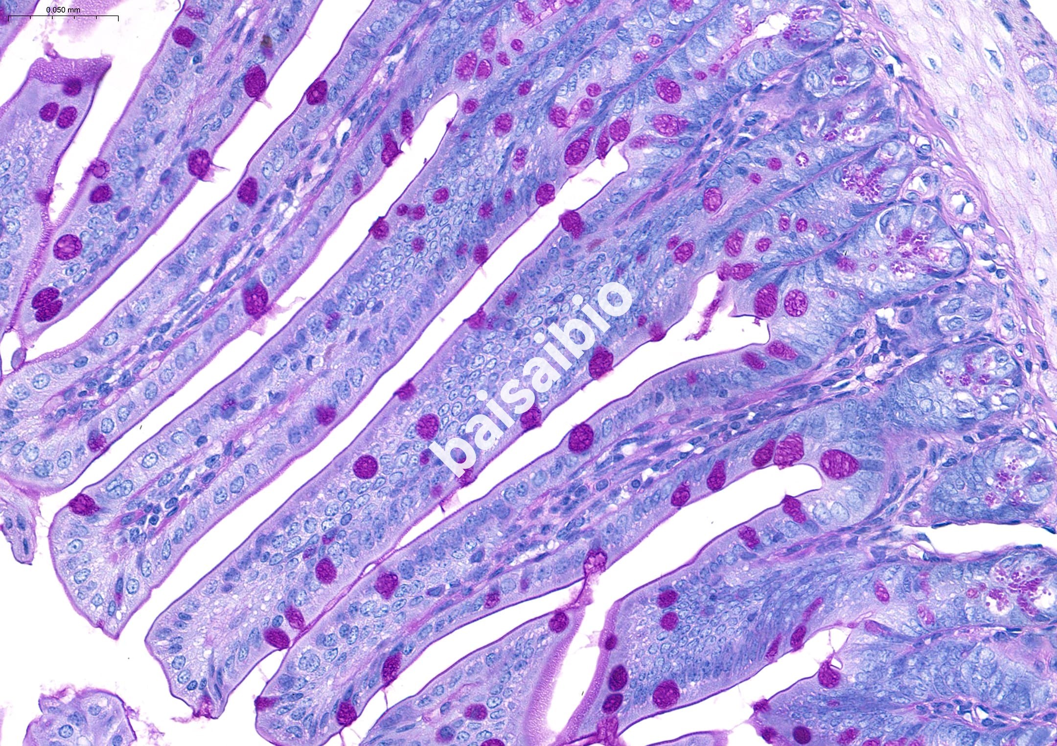
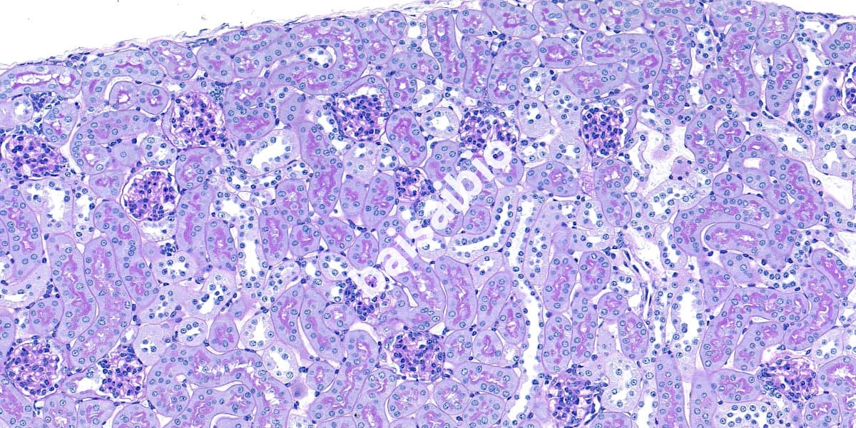
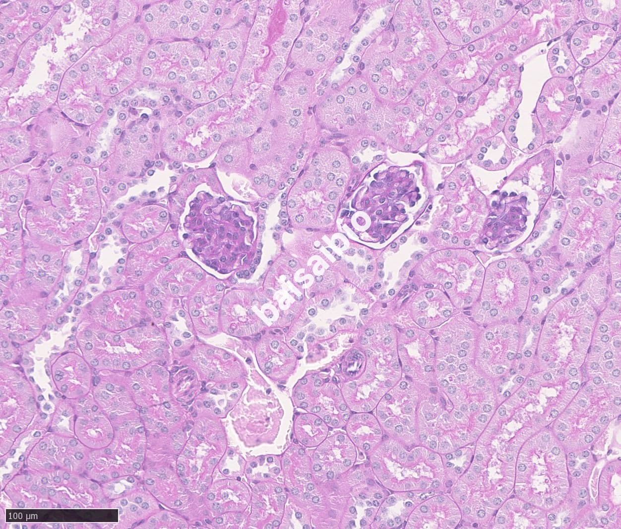
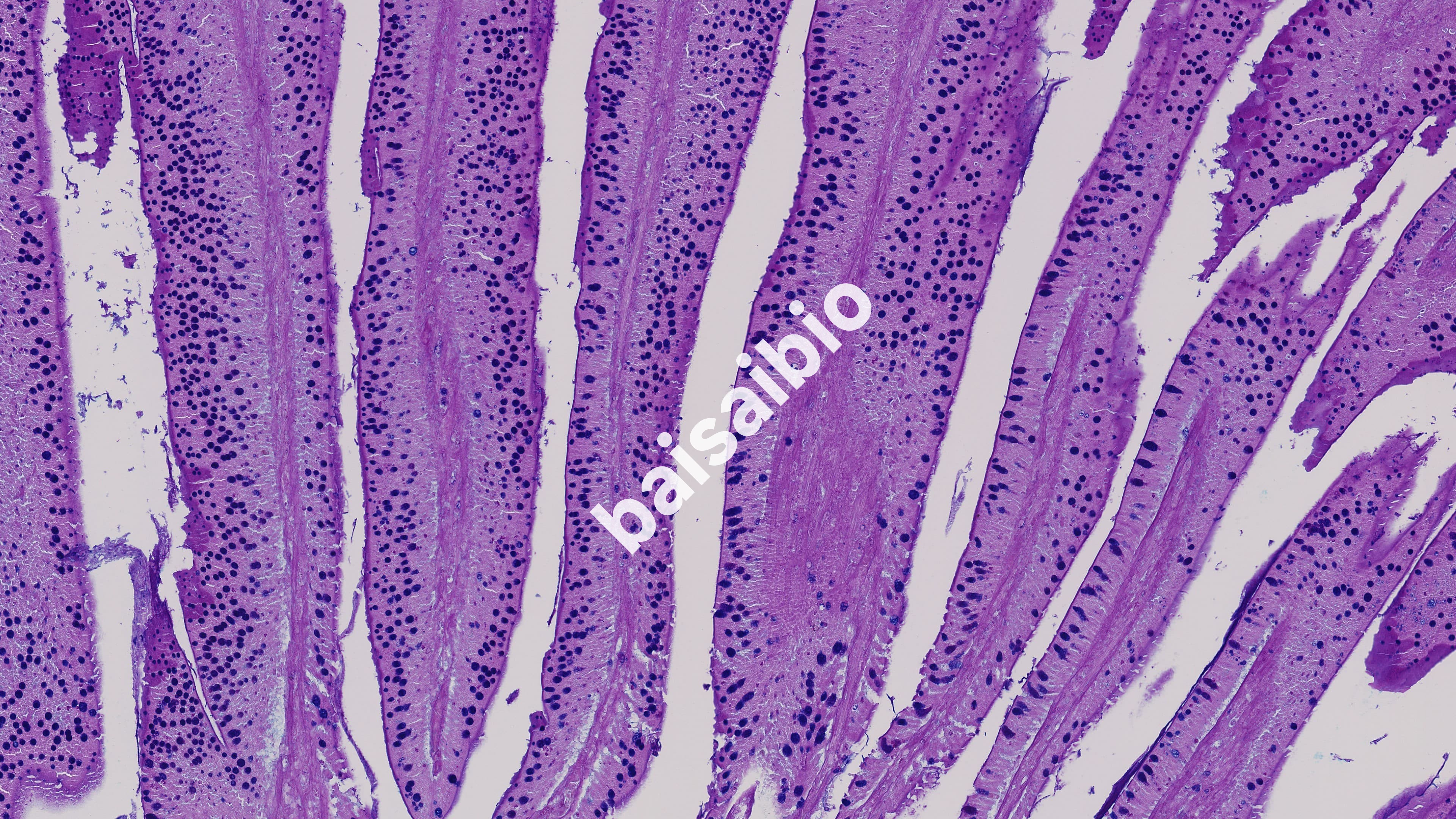
PAS染色法(Periodic Acid-Schiff stain)在组织学上,主要用来检测组织中的糖类。过碘酸把糖类相邻两个碳上的羟基氧化成醛基,再用Schiff试剂和醛基反应使呈现紫红色。
在线咨询
①、样本接收:石蜡切片或冰冻切片
②、石蜡切片染色:烤片-脱蜡至水-高碘酸酸化-纯水洗净-Schiff氏试剂染色(避光)-流水显色-苏木素复染-分化-反蓝-脱水透明-中性树胶封片-显微镜下观察
③、冰冻切片染色:水洗包埋剂-高碘酸酸化-纯水洗净-Schiff氏试剂染色(避光)-流水显色-苏木素复染-分化-反蓝-脱水透明-中性树胶封片-显微镜下观察
结果判断:糖原、中性粘液物质、软骨基质、植物的真菌和细胞壁、上皮的基膜等均呈紫红色,细胞核浅蓝色。
石蜡切片运输:
①、将载玻片放入专用的载玻片盒中,并使用防震材料(如泡沫、气泡膜)包裹,防止运输过程中震动或碰撞。
②、如果运输环境温度较高,可以使用冰袋或冷藏箱保持低温。
冰冻切片运输:
①、将载玻片放入专用的载玻片盒中,并使用防震材料(如泡沫、气泡膜)包裹,防止运输过程中震动或碰撞。
②、冰冻切片须低温运输保存运输。
注:仅供科研用途参考,不可用于临床诊断依据!

