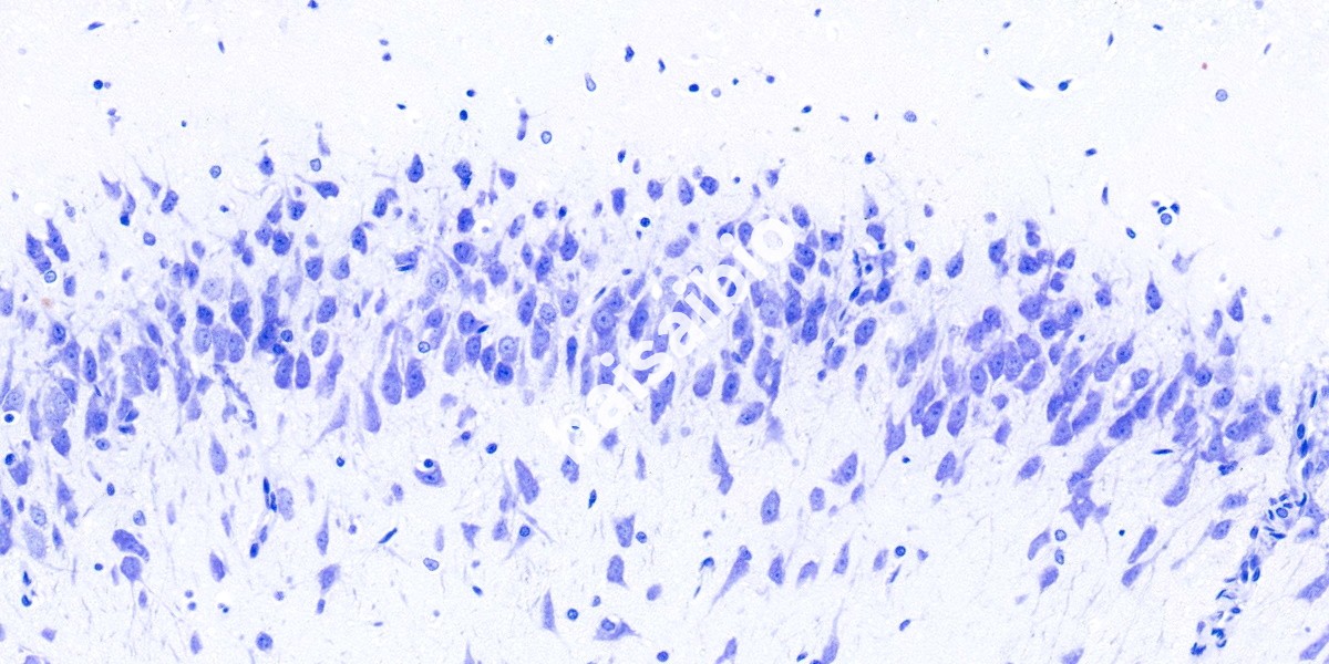
Nissl染色染色后呈蓝紫色,常用于显示脑或脊髓的基本神经结构。Nissl小体大而数量多,说明神经细胞合成蛋白质的功能较强;相反在神经细胞受到损伤时,Nissl小体的数量会减少甚至消失。
在线咨询
①、样本接收:石蜡切片或冰冻切片
②、石蜡切片染色:烤片-脱蜡至水-尼氏焦油紫染色-水洗-分化-脱水透明-中性树胶封片-显微镜下观察
③、冰冻切片染色:水洗包埋剂-尼氏焦油紫染色-水洗-分化-脱水透明-中性树胶封片-显微镜下观察
结果判断:尼氏小体染色的核心是通过深蓝色颗粒判断神经元的功能状态
石蜡切片运输:
①、将载玻片放入专用的载玻片盒中,并使用防震材料(如泡沫、气泡膜)包裹,防止运输过程中震动或碰撞。
②、如果运输环境温度较高,可以使用冰袋或冷藏箱保持低温。
冰冻切片运输:
①、将载玻片放入专用的载玻片盒中,并使用防震材料(如泡沫、气泡膜)包裹,防止运输过程中震动或碰撞。
②、冰冻切片须低温运输保存运输。
注:仅供科研用途参考,不可用于临床诊断依据!

