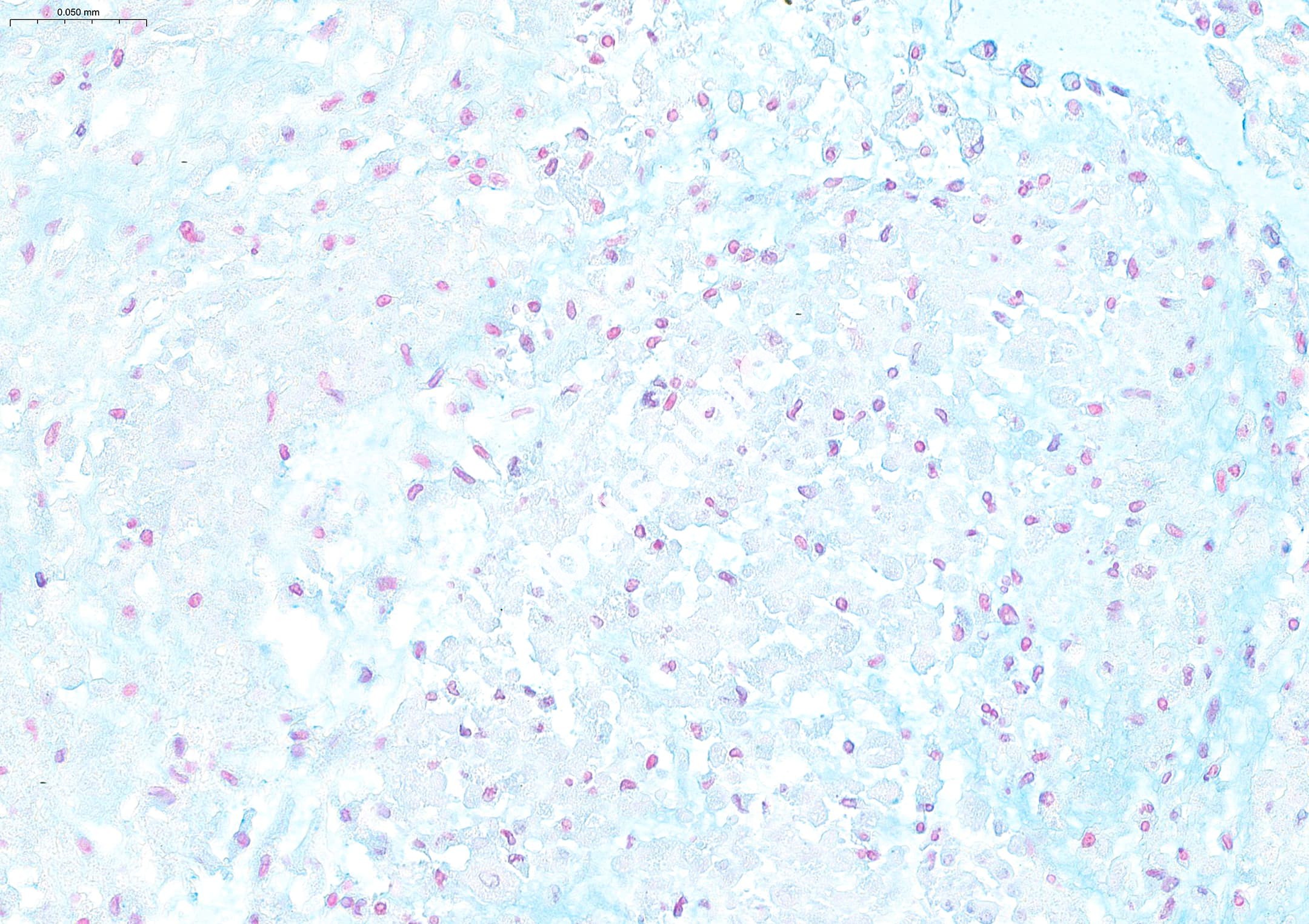
阿尔新蓝属于阳离子染料,是显示酸性黏液物质最特异的染料,染料与酸性基团形成盐键。利用染料的不同pH及不同电解质浓度,可区分酸性黏液物质的类别。具有金属光泽的墨绿色结晶。主要可用于粘蛋白染色,细菌染色,润滑液中作为胶凝剂。
在线咨询
①、样本接收:石蜡切片或冰冻切片
②、石蜡切片染色:烤片-脱蜡至水-阿尔新兰染色-水洗-核固红或伊红复染(选做)-脱水透明-中性树胶封片-显微镜下观察
③、冰冻切片染色:水洗包埋剂--阿尔新兰染色-水洗-核固红或伊红复染(选做)-脱水透明-中性树胶封片-显微镜下观察
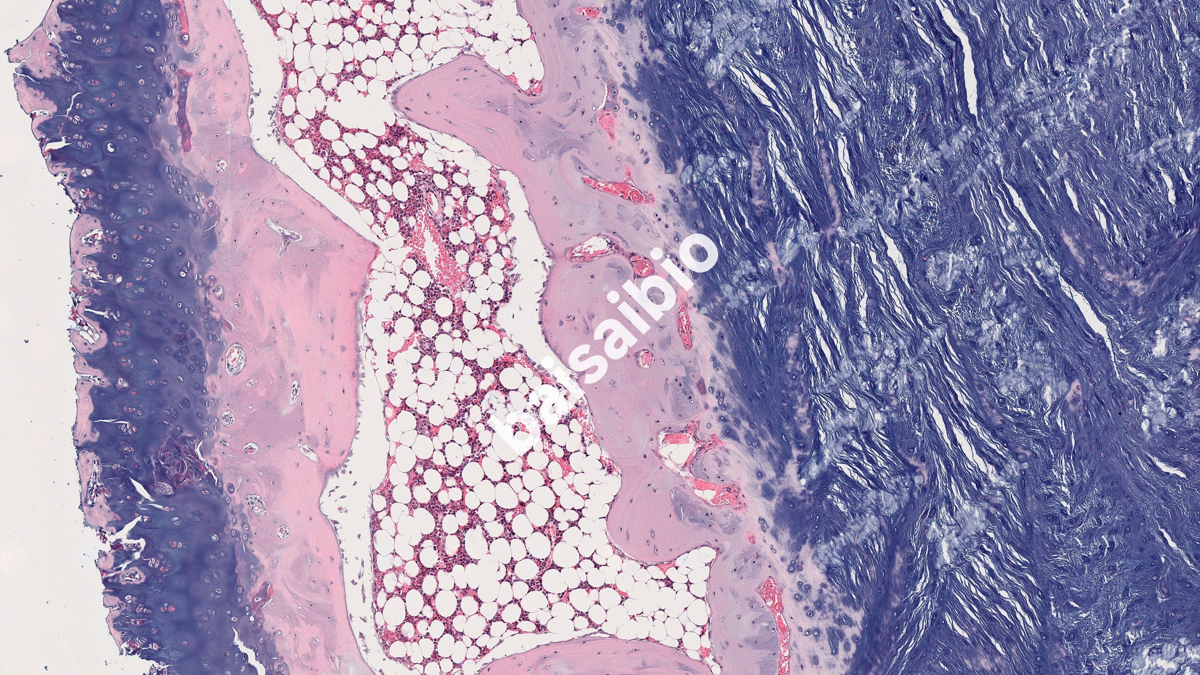
结果判断: 骨组织的软骨和肠组织的酸性粘液呈蓝色,细胞核呈红色。
石蜡切片运输:
①、将载玻片放入专用的载玻片盒中,并使用防震材料(如泡沫、气泡膜)包裹,防止运输过程中震动或碰撞。
②、如果运输环境温度较高,可以使用冰袋或冷藏箱保持低温。
冰冻切片运输:
①、将载玻片放入专用的载玻片盒中,并使用防震材料(如泡沫、气泡膜)包裹,防止运输过程中震动或碰撞。
②、冰冻切片须低温运输保存运输。
注:仅供科研用途参考,不可用于临床诊断依据!

